El IRM más potente del mundo muestra primeras imágenes del cerebro humano
Saclay, 02 de abril del 2024.- El escáner de resonancia magnética (IRM) más potente del mundo ha logrado escanear con un nivel de precisión desconocido el cerebro humano, anunciaron sus responsables en Francia, una proeza que podría ser decisiva para detectar enfermedades.
Investigadores del Comisariado de Energía Atómica (CEA) francés utilizaron por primera vez la máquina para escanear una calabaza en 2021.
Recientemente las autoridades sanitarias les dieron luz verde para escanear humanos.
En los últimos meses, alrededor de 20 voluntarios sanos se han prestado a la experiencia de ver escaneados sus cerebros en Saclay, suburbio al sur de París.
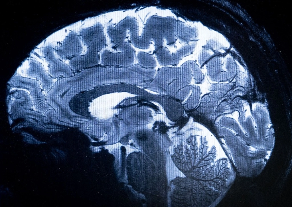
«Hemos visto un nivel de precisión nunca antes alcanzado en el CEA», dijo Alexandre Vignaud, un físico que trabaja en el proyecto.
El campo magnético creado por el escáner es de 11.7 teslas, una unidad de medida nombrada en honor del inventor Nikola Tesla.
Esta potencia permite que la máquina escanee imágenes 10 veces más precisas que los IRM comúnmente utilizados en hospitales, cuya potencia normalmente no supera los tres teslas.
En una pantalla de computadora, Vignaud comparó imágenes tomadas por este poderoso escáner, apodado Iseult, con las de un IRM normal.
«Con esta máquina podemos ver los pequeños vasos que alimentan la corteza cerebral, o detalles del cerebelo que eran casi invisibles hasta ahora», dijo.
Un imán de 132 toneladas
La máquina consiste en un cilindro que mide cinco metros de largo y cinco de alto, dentro del cual hay un imán de 132 toneladas alimentado por una bobina de mil 500 amperios.
La entrada es de 90 centímetros de ancho, por la que se desliza el paciente.
El diseño es el resultado de dos décadas de investigación de una alianza de ingenieros franceses y alemanes.
Estados Unidos y Corea del Sur están trabajando en máquinas IRM igual de potentes, pero aún no han comenzado a escanear imágenes de humanos.
Uno de los principales objetivos es multiplicar nuestra comprensión de la anatomía del cerebro y qué áreas se activan cuando realiza tareas particulares.
Los científicos ya han utilizado los escáners de resonancia magnética para demostrar que cuando el cerebro reconoce cosas particulares, como caras, lugares o palabras, se activan distintas regiones de la corteza cerebral.
La potencia de 11.7 teslas ayudará a Iseult a «comprender mejor la relación entre la estructura del cerebro y las funciones cognitivas, por ejemplo, cuando leemos un libro o realizamos un cálculo mental», dijo Nicolas Boulant, director científico del proyecto.
Tras el rastro del Alzheimer
Los investigadores esperan que la potencia del escáner también arroje luz sobre los mecanismos ocultos detrás de enfermedades neurodegenerativas como el Parkinson o el Alzheimer, o problemas sicológicos como la depresión o la esquizofrenia.
«Por ejemplo, sabemos que una área particular del cerebro, el hipocampo, está implicada en la enfermedad de Alzheimer, por lo que esperamos poder descubrir cómo funcionan las células en esta parte de la corteza cerebral», dijo la investigadora del CEA, Anne-Isabelle Etienvre.
Los científicos también esperan mapear cómo ciertos medicamentos utilizados para tratar el trastorno bipolar, como el litio, se distribuyen a través del cerebro.
El fuerte campo magnético creado por el IRM podrá ayudar a dilucidar qué partes del cerebro reciben la influencia del litio. Esto podría ayudar a identificar qué pacientes responderán mejor o peor al medicamento.
«Si podemos comprender mejor estas enfermedades tan nocivas, podremos diagnosticarlas antes, y por lo tanto tratarlas mejor», dijo Etienvre.
Por el momento Iseult no será utilizado con pacientes reales durante varios años.
La máquina «no está destinada a convertirse en una herramienta de diagnóstico clínico, pero esperamos que el conocimiento adquirido luego pueda ser utilizado en hospitales», explicó Boulant.
En los próximos meses está previsto el reclutamiento de una nueva hornada de voluntarios para escanear sus cerebros.
Con información de: Afp
