Con exitosa cirugía, especialistas del Issste retiran tumor cerebral maligno del tamaño de un huevo
- CMN “20 de Noviembre” interviene a paciente despierta de 34 años
- En tres meses recibe igual número de operaciones; evoluciona favorablemente
- Se le diagnosticó cáncer de tipo leiomiosarcoma originado en el corazón
México, Ciudad de México, 26 de mayo de 2022.- El director general del Instituto de Seguridad y Servicios Sociales de los Trabajadores del Estado (Issste), Pedro Zenteno Santaella, reconoció la labor de neurocirujanos y un grupo multidisciplinario de salud del Centro Médico Nacional (CMN) “20 de Noviembre” por extraer un tumor cerebral maligno del tamaño de un huevo a mujer derechohabiente de 34 años, a quien realizaron compleja y exitosa cirugía de alta especialidad.
El cirujano líder del procedimiento y miembro de la Sociedad Mexicana de Cirugía Neurológica y de la Sociedad Médica del CMN “20 de Noviembre”, Cuauhtémoc Gil-Ortiz Mejía, destacó que la intervención se realizó el 22 de marzo pasado, con resultados muy favorables, a una paciente con cuadro clínico de alto riesgo que, en tres meses, fue sometida a tres cirugías: vesícula, a corazón abierto para retiro de tumor maligno y cerebral, y para quitar tumoración metástasis.
“La neurocirugía fue bastante exitosa debido a que la paciente no fue afectada del lenguaje, la memoria, ni de las facultades para el cálculo matemático. De hecho, ha recuperado algunas habilidades que se encontraban alteradas antes de ser intervenida, debido al tumor”, informó.
En el procedimiento también participaron el neurocirujano Antonio López López, los médicos residentes Cristóbal Rubén Villavicencio Nava, César Hernández Zamora y Diego Galarza Alcocer; el anestesiólogo Hermenegildo Cortés Rivera y las enfermeras especialistas Georgina Hernández Chico y Adriana Torres Campos.
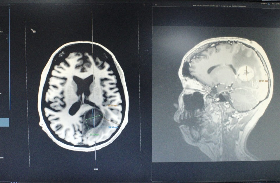
Gil-Ortiz explicó que el tumor se localizaba del lado izquierdo en la zona profunda del cerebro y era una metástasis de cáncer tipo leiomiosarcoma desarrollado en el corazón.
La operación de cerebro duró cinco horas y se mantuvo a la paciente despierta para monitorear las funciones de su sistema nervioso central y preservarlas, haciéndole preguntas relacionadas con nombres, fechas, sumas o restas en secuencia e indicaciones de mover diferentes partes del cuerpo.
La tumoración comprometía estructuras relacionadas con lenguaje, comprensión, cálculo y función visual, detalló. Se aplicó sedación y anestesia local para no causar daños adicionales y verificar que no se alterara la sensibilidad en todo el cuerpo.
Se trata de un hallazgo de diagnóstico fortuito, dijo el especialista del Issste, quien también pertenece a la Sociedad Mexicana de Cirugía de Columna y a la Sociedad Interamericana de Cirugía de Columna Mínimamente Invasiva.
Relató que la paciente primero fue operada de vesícula en el Hospital General “Dr. Fernando Quiroz Gutiérrez”. Posteriormente, el 8 de febrero pasado en el CMN “20 de Noviembre” fue sometida a un procedimiento de corazón abierto para retirarle un tumor.
“Un estudio patológico del tumor confirmó que se trataba de cáncer tipo leiomiosarcoma, considerado de los más agresivos que existen, cuya presencia es extremadamente rara en el corazón y aún más que dé metástasis en el cerebro. En 22 años que llevo trabajando en el CMN ‘20 de Noviembre’ es el primer reporte de un caso como este”, puntualizó el neurocirujano.
Refirió que durante su internamiento por la cirugía cardiaca, la paciente inició con problemas de lenguaje, manifestó que desconocía la parte derecha de su cuerpo y que no podía hacer cálculos matemáticos, lo que médicamente se conoce como síndrome de Gerstmann; por este motivo fue valorada en neurocirugía.
“Le realizamos una tomografía y observamos una lesión dentro del cerebro. En estudio de resonancia magnética identificamos una lesión nodular con bordes bien definidos y con gran edema cerebral”, explicó.
Posteriormente, se programó la neurocirugía, un procedimiento de alta especialidad en el que utilizamos tecnologías médicas como microscopio quirúrgico, neuronavegador y ultrasonido transquirúrgico, con el propósito de realizar un acceso hacia el tumor localizado en la parte profunda del cerebro, señaló.
Luego de la intervención, la paciente inició un programa de rehabilitación motora, de lenguaje y de cálculo que actualmente continua en su domicilio. “Deambula, camina por sí sola y continuará con valoración por el servicio de oncología para evaluar y recibir tratamientos complementarios, ya sea radioterapia, quimioterapia o los dos en conjunto”, detalló Cuauhtémoc Gil-Ortiz.
La neurocirugía con paciente despierto es más complicada e incómoda para todo el equipo quirúrgico y de anestesiología que interviene, pero la más segura para la paciente porque se evitaron lesiones en áreas colindantes al tumor y se preservaron las funciones cerebrales que dependen de ellas. “Este es el mérito de la atención a esta paciente con este cuatro patológico tan complejo”, concluyó.
